Total Hip Replacement
Once all non-operative treatment options such as activity modification, weight loss, physiotherapy, pain killers, and injection therapy have been exhausted and you are suitable for surgical intervention, I will offer you a total hip replacement. This is a very successful operation that is routinely performed in patients with hip osteoarthritis.
The benefits of having a hip replacement are:
- Reduced pain
- Reduced stiffness
- Increased mobility
- Improved quality of life
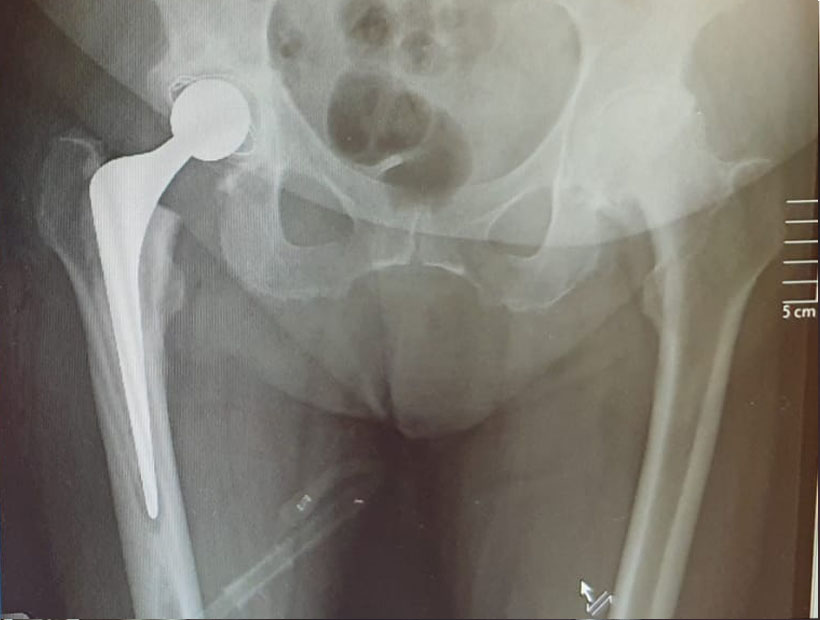
The replacement hip joint is made up of a combination of special metals, plastic or ceramic.

See below for some before and after X-rays of total hip replacement surgeries I have performed to treat Osteoarthritis. Drag the sliders to switch between the before and after images.






If you think you may benefit from hip joint replacement surgery, please don’t hesitate to Enquire Now so that we can arrange a consultation.
Highly Experienced
I am an experienced Consultant Orthopaedic Surgeon with 25 years of experience working as an NHS doctor and as a consultant since 2018.
Qualified Surgeon
I attained my higher surgical training in Trauma and Orthopaedic Surgery and have also done two prestigious fellowships in lower limb arthroplasty.
Hi-Tech Equipment
All my operations are carried out at first class facilities with hi-tech equipment so you can rest assured you are receiving the highest quality treatment.
Ongoing Patient Care
All my patients receive the best care possible, including consultations with myself before and after the operation and care from our healthcare team on the day.
I am 7 weeks and 6 days post op, for a complicated left hip replacement. Essentially I had no socket for my left hip. Mr Magra virtually reconstructed my whole upper leg. The chronic pain beforehand meant I was unable to walk much more than 100m without intense pain. Post op I have completed in excess of 2 miles with 2 crutches and 1 mile with a single crutch and I am now starting tingling confidence to lose the crutches altogether. I honestly cannot tell you how much of a difference Mr Magra and his team have made to my life.
I consider myself very fortunate to have been under the care of Mr Magra for two knee replacement operations. Recovery from my recent left knee replacement operation on 29th November 2022 has been amazing. Within a couple of weeks I was comfortably managing to walk unaided. Seven weeks later and I can walk for some distance without any pain. The level of care and expertise I experienced was exceptional. Mr Magra and following support from staff ensured I gained a positive and speedy recovery.
I can’t speak highly enough of Mr Magra’s skill. I’m in mid-recovery (7 weeks) after total hip replacement following severe osteoarthritis, and despite my age (82!) I’m absolutely delighted. Mr Magra is a charming and empathetic surgeon, who treats his patients with the utmost care and professionalism. I’m particularly impressed with his use of very accurate X-rays to pre-plan his operations, which has certainly paid off in my case. After nearly two years of pain, eventually almost unable to climb or descend stairs, I’m rediscovering the delights of walking freely, easily and with pleasure. Heartfelt thanks!
I have been in the care of Mr Magra now for a year and he has been amazing. I’ve had 2 hip replacements – one in April and the other in November – the first was great the second more complicated but throughout Mr Magra has been very informative and caring. He’s never in a rush and answers all your questions to put you at ease. I am looking forward to returning to my active life now I am pain-free and mobile due to his skill. I only accept the best which is why I chose Mr Magra as he is excellent and would highly recommend him.